叢生(デコボコの歯)の治療

歯並びがデコボコになっている状態。
「乱ぐい歯」ともいいます。
犬歯が飛び出した「八重歯」も、叢生の一種です。
お電話でのご予約0797-22-2300


歯並びがデコボコになっている状態。
「乱ぐい歯」ともいいます。
犬歯が飛び出した「八重歯」も、叢生の一種です。







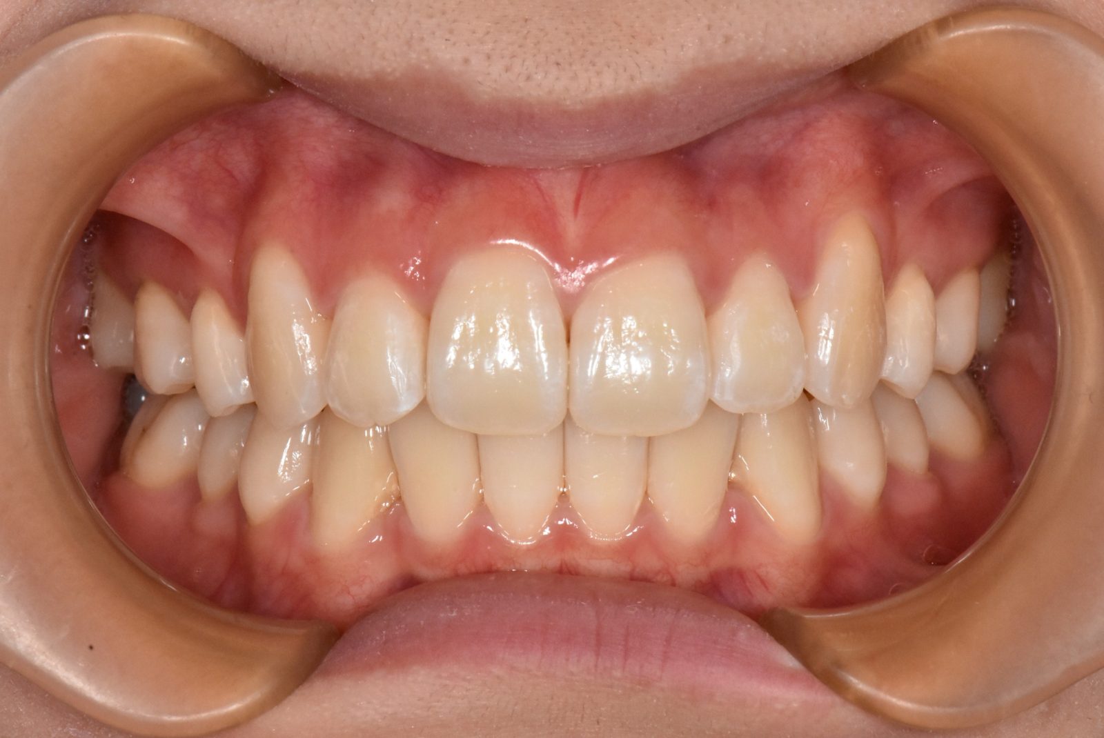
叢生とは、歯が不揃いにデコボコ並んでいる状態で「乱ぐい歯」ともいいます。特に上顎の犬歯が突出している場合のことを「八重歯」と呼びます。このような歯の状態は、顎の骨が小さく、歯が綺麗に並ぶスペースが不足していることが原因です。

叢生には、見た目の問題以外にもさまざまなリスクがあります。
デコボコの歯並びは、歯磨きが難しくなり、その結果として虫歯や歯周病のリスクが高まります。また、歯が均等に力を分散して噛めない場合には、一部の歯のみに負担がかかり、歯が弱っていく原因になります。
長い間この状態が続く場合、最終的に抜歯が必要になる危険性もあります。

当院では、お子さん一人ひとりの歯並びに応じて、最適な治療プランをご提案します。豊富な種類の矯正装置を取り揃えており、それぞれの状況に合わせた治療方法を選定します。当院の具体的な治療法を簡単にご紹介します。

透明のマウスピース型の矯正装置です。患者さんの口型を採取して作成するオーダーメイドのマウスピースを使用して、歯並びを整えていきます。
当院では、お子さんの歯並びの状態などに合わせて「プレオルソ」や「インビザライン/インビザラインファースト」と呼ばれる装置を使い分けます。当いんでは、次の料金で治療を受けられます。
●プレオルソ:8万円(税込)
●インビザラインファースト:48万円(税込)
●インビザライン:70万円(税込)~

ワイヤー矯正にはマウスピース型矯正装置よりも、幅広い症例に対応できるというメリットがあります。お子さんによっては、装置の金属がギラギラと目立って嫌だと言われるかもしれません。
現在は白いパーツを用いた目立ちにくいタイプも選択できます。当院では、お子さんのお口に状態によっては、マウスピース型の矯正装置ではなく、ワイヤー矯正をご提案させていただきます。
矯正治療は、自費診療ですので、治療医が高額になりがちです。そのため、親御さんの中には、費用面の心配をされていらっしゃる方も少なくないと思います。
当院では、デンタルローンを導入しておりますので、月々の治療費を抑えて矯正治療を行うことができます。歯並びを整えることで、噛み合わせの改善、見た目のコンプレックスの解消など、お子さんに生涯にわたるプレゼントを差し上げてみませんか。

当院は、総合歯科医院です。矯正治療はもちろん、虫歯や歯周病の治療、抜歯など、幅広い歯科治療を提供しています。
一般的な矯正専門医院では難症例とよばれる矯正治療も幅広く対応していますが、、虫歯や歯周病の治療は行っていません。
また、通常の総合歯科医院では虫歯や歯周病の治療はできますが、専門的な矯正治療の質が矯正専門医院に比べると劣ることがあります。
当院では、矯正治療と同時に虫歯や歯周病の治療も一貫して行うことができます。このように、専門的かつ総合的な治療を一箇所で受けられるため、患者さんは何かと便利で安心して治療を受けることが可能です。全ての歯科治療のニーズに応じて、当院が最適なケアを提供いたします。
専門性 | 抜歯 | 虫歯/歯周病治療 | 1つの医院で完結 | |
|---|---|---|---|---|
矯正「専門」医院 | ◎ | × | × | × |
「総合」歯科医院 | 〇or△ | 〇 | 〇 | 〇 |
当院 | ◎ | 〇 | 〇 | 〇 |
当院では、通常、費用が掛かる「調整料」「保定装置代」を無料でご提供していますので、様々な理由で治療が長引いてしまった場合でも安心です。
叢生の矯正では、抜歯することが多いと聞きました。なぜ抜歯が必要ですか?
叢生は、狭いスペースに多くの歯が密集している状態です。3人掛けのベンチに4人が座る様子を想像してみてください。座る人数を減らせば、残った人々が適切に座るスペースが確保されます。この場合の人数を減らすというのは、抜歯に相当します。
ただし、抜歯は必ずしも必要ではありません。症例によっては、さまざまな装置や治療方法を用いて、歯を抜かずに治療ができることもあります。治療の選択肢については、まずは当院にご相談いただければと思います。私たちは患者さん一人ひとりの具体的な状況を詳しく分析し、最適な治療計画をご提案いたします。
奥歯を後方に移動させることで抜歯なしで整った歯列を形成するスペースを確保します。これは、先ほどのベンチの話に例えるなら、ベンチを大きくして皆が並んで座れるようにするイメージです。

歯をわずかに削り、細くすることでスペースを作り出す方法です。これは、3人掛けのベンチにスリムになった4人が無理なく並んで座るイメージです。この方法で抜歯せずに矯正できることがあります。
歯は顎の骨に沿って弓のような曲線状に並んでおり、この歯並びを「歯列弓」と呼びます。専用の装置を使用して歯並び全体を左右に広げることにより、抜歯を行わずに歯を動かすためのスペースを確保できる場合があります。
先ほどのベンチの話に例えるなら、ベンチを大きくすることで、皆が快適に並んで座ることができるようにするイメージです。
抜歯はしないほうがよいですか?
症例によっては、抜歯が適切な選択となることもあります。無理に抜歯を避けて歯を並べようとすると、前歯が突出するなどの可能性もあり、最悪の場合は歯が抜け落ちることもあります。
当院では抜歯しなかったことによるリスクを避けるため、治療方針を慎重に決定しています。抜歯が必要な場合には、主に神経を取った歯や、虫歯や歯周病で損傷が進んだ歯を選んで抜歯し、健康な歯を最大限に保つように配慮しています。
当院では、患者さんが抱えていらっしゃるお口のお悩みや疑問・不安などにお応えする機会を設けております。どんなことでも構いませんので、私たちにお話ししていただけたらと思います。
ご興味がある方は下記からお問い合わせください。
