「睡眠無痛治療」に対応しています
「安全性の高い」インプラント治療を追求
Densah® Burで骨量が少ない方の治療も可能です

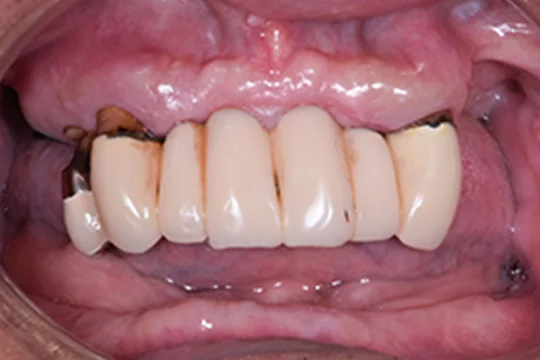
- 多くの歯がボロボロ……
- 他院で行ったインプラントに不具合が……
- 入れ歯が合わない……
- ブリッジではない治療法を探している……
上記に当てはまる方、当院へご相談ください。
※最大10年の保障
※セカンドオピニオンにも対応しています
お電話でのご予約0797-22-2300

「睡眠無痛治療」に対応しています

上記に当てはまる方、当院へご相談ください。
※最大10年の保障
※セカンドオピニオンにも対応しています







当院では、患者さんの心身の負担を最小限に抑えたインプラント治療を行っています。詳しくご紹介します。
当院のインプラント治療は、国内外で豊富な経験を持つ「理事長」秋田 誠が必ずオペを担当します。

| 朝日大学歯学部 卒業 | |
| 兵庫県立淡路病院歯科口腔外科 勤務 | |
| 秋田歯科クリニック 開業 | |
| 心斎橋デンタルクリニック 開業 | |
| 芦屋MA歯科・矯正歯科 開業 |











「睡眠無痛治療(静脈内鎮静法)」は、点滴で鎮静薬を注入する方法です。患者さんは寝ている間にインプラント治療が終わります。多くの方が「怖さ」や「不安」を感じる外科手術を伴うインプラント治療におすすすめの治療法です。

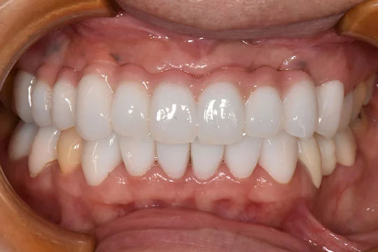
All-on-4(オールオン4)は、4本のインプラントを顎に埋入し、12本の人工歯を支える治療法です。少ないインプラントで多くの人工歯を支えることができるため、総入れ歯など、自分の歯がほとんど残っていない方におすすめの治療法です。
治療費を抑えながら、天然歯に近い噛み心地、見た目を希望の方は、All-on-4による治療をおすすめします。
インプラント治療は、「顎の骨に直接インプラントを埋め込む」ため、顎の骨が少ない場合には、一部の医院では治療を断られることもあります。また、技術力がある医院でも、顎の骨を増やすために「追加の外科手術が必要」になることがあります。
しかし、当院では「大掛かりな骨造成を行わずにインプラント治療を行える」という特徴があります。その理由は、「Densah® Bur」という特殊な器具を使用しているからです。
この「Densah® Bur」を用いることで、既存の骨を最大限活用しながら、安全かつ効率的にインプラントを埋入できるため、多くの患者さんに対応可能となっています。顎の骨が少ない方でも、大掛かりな手術を受けることなく、確実かつ快適に治療を受けることができます。

インプラント術式の1つであるDensah® Burは、通常の「ドリル」を使った方法とは異なります。この方法では、「キリ」のような器具を使って徐々に穴を広げ、インプラントを埋入します。
この技術には以下のような特徴があります。
Densah® Burは、骨を押し広げて圧縮させるため、インプラント周囲の骨密度が向上し、結果的にインプラントがより安定しやすくなります。この方法は、「骨幅が少ない方」や「骨質が柔らかい方」にも適しており、わざわざ骨を作る必要がありません。
骨造成を行うと、治療期間が長くなるだけでなく、治療費も増加し、外科処置の回数が増えることで患者さんの肉体的および精神的な負担も増えます。
Densah® Burを用いた方法は、患者さんにとってより優しい選択肢と言えます。

世界中には多くのインプラントメーカーがあり、それぞれに独自の特徴があります。一部には品質が劣る安価なメーカーも存在しますが、当院では品質と信頼性を重視しています。ここでは主に使用しているメーカーをご紹介します。

メガジェンは韓国のインプラントメーカーです。ナイフスレッドと呼ばれる形状をしており、顎の骨と結合しやすいのが特徴です。
インプラント治療の成功率を高めるためには、「環境」も非常に重要です。当院では、最新の精密機器に加え、歯科技工士との蜜な連携を計ることで、安心・安全・確実な治療を実現しています。また、以下の設備と協力体制を整えています。
それぞれご説明します。

CTは三次元での撮影を可能にしてくれる装置です。一般的な二次元レントゲンでは分からない、顎の骨の厚さや神経や血管の位置までもしっかり確認することができるため、インプラントの埋入位置などを決める際に無くてはならない装置です。

マイクロスコープは視野を肉眼の十数倍に拡大できる装置です。人工歯をセットする際などに使用します。下記はマイクロスコープと肉眼での見え方を比較したものです。この違いが治療精度を左右します。



インプラントは顎の骨にインプラント体を埋入する必要があるため、顎の骨量が足りない場合、治療を断られる場合があります。
しかし、当院では、骨造成と呼ばれる骨を増やす処置を併用することで、インプラント治療が可能になるケースが多くあります。下記の動画は系列医院の「心斎橋デンタルクリニック」の動画です。院長は、当院の院長でもあるDr.秋田です。骨造成にも対応しておりますので、他院で治療を断られた方はぜひ一度ご相談ください。


当院では、セカンドオピニオンにも積極的に対応しています。他院での治療提案に疑問を感じている方や、他の専門家の意見を聞いてみたいと考えている方は、ぜひ当院までご相談ください。
インプラント治療にはさまざまな方法があり、治療費や治療環境も大きく異なるため、多くの情報を得て自分に最適な治療を選ぶことが大切です。当院では、患者さんが納得のいくまで様々なオプションを提供し、十分な情報をもとに選択できるようサポートしています。
当院で行うインプラント治療には、以下のような「保証期間」を設けています。
保証期間に応じて治療費が変わるため、詳しい情報やご不明点があれば、当院にお気軽にお問い合わせください。
私たちは患者さん一人ひとりに最適な治療プランを提案し、安心して治療を受けていただけるよう努めています。

当院のインプラント治療は、人工歯の素材にもこだわり、金属アレルギーの方でも安心して治療を受けられるようにしています。
インプラントの人工歯の素材の中には、メタルボンドといった金属アレルギーのリスクがあるものもあります。当院では、オールセラミックと呼ばれる、金属を一切使用していない、陶器でできた素材の人工歯をご提供しています。
オールセラミックは金属アレルギーリスクの軽減だけではなく、透明感があり見た目も美しいのが特徴です。残っている歯に馴染むよう、当院では、色の調整も行って仕上げていきます。
当院では、患者さんが抱えていらっしゃるお口のお悩みや疑問・不安などにお応えする機会を設けております。どんなことでも構いませんので、私たちにお話ししていただけたらと思います。
ご興味がある方は下記からお問い合わせください。
